Katie O'Malley Katie O'Malley

Why is my child snoring?

At Heights Pediatric Dentistry and Orthodontics, we meet and talk to many amazing people in our community during our appointments together. It’s during these times that we discuss not only our patients’ dental health but their overall health as well. One of the topics that we address is airway and snoring, which is a common issue with our kids today.

Snoring is caused by airway constrictions either in the nasal cavity or base of the tongue (tonsil and adenoid region) which causes vibrations in these soft tissues. This airway constriction can also be described as a kink in a hose –no matter the location of the kink in the hose, the kink will not allow anything to go through.

Snoring is a sign of childhood sleep apnea, which is a serious condition, and it is often not diagnosed by your pediatrician. Other signs of childhood sleep apnea include mouth breathing, chapped lips, swollen gums, teeth grinding and clenching, darkness under the eyes, and a narrow arch or upper jaw. In addition, childhood sleep apnea has been linked as the cause of various issues including poor sleep patterns, lack of energy, bed wetting, and most seriously ADHD. As we explain to our patients, it doesn’t matter your age, if you’re not getting good sleep, it’s hard to focus and be your best during the day.

The bottom line is your child should not regularly be snoring. Occasional snoring due to allergies or congestion is common and normal. However consistent nightly snoring should be addressed because it is very curable at an early age. That’s right, if you pick up on these signs and symptoms, there are ways to treat it now much easier than waiting until you’re an adult. Can you imagine avoiding a lifetime of sleep apnea just by early intervention?

Our practice also works closely with various ENT doctors in Houston to diagnose and treat snoring and sleep apnea. In some situations, a sleep study is recommended for diagnosis, which can be difficult for a child to endure. In our opinion, the best sleep study is watching and listening to your child sleep for at least 30 minutes after they fall asleep. Of course, you could always go on a family trip camping or share a hotel room together. You never know what sounds you’ll pick up on. Hopefully you can hear anything over dad’s snoring but that topic is for another time!

Dentists are at the front line for diagnosing childhood sleep apnea and our team looks forward to discussing this important topic with you to help lead your child to a life of better breathing in addition to a beautiful smile!

If you have any questions about how to relieve your child’s teething symptoms, call us at Heights Pediatric Dentistry & Orthodontics, 713-861-4000!

Dr. Lindhorst, Dr. Darsey, Dr. Theriot, Dr. Gavri and the Heights Pediatric Dentistry and Orthodontics Team

Read More
Katie O'Malley Katie O'Malley

Hard Dental Habits to Break

All of us, no matter the age, have some form of habit or another. Habits are part of our everyday lives whether we are awake or asleep. Some are good and others are meant to be broken. For example, brushing and flossing your teeth are great habits that we love to hear from our patients on a regular basis. But we’re not here to discuss the good habits, but rather the habits that should be broken, specifically thumb sucking and prolonged pacifier use.

Simply put, it only takes pressure and time to move teeth. That’s the same with orthodontic treatment and even these habits. Therefore, the worse the habit, the more pressure it puts on the teeth and more movement of the teeth it causes. In our eyes, these habits are bad because they can have lasting effects on your teeth and mouth when the habits are prolonged.

These specific habits put pressure on your upper front teeth (incisors), which causes them to move forward and become flared looking. In addition, there is a narrowing effect on your upper jaw near the molars which can cause crossbites of those teeth. Crossbites are certainly serious in our eyes but correctable with early Phase I treatment.

Our patients’ overall dental health is very important to us, which is not limited to just cleanings and cavities. Habits that can affect the teeth are equally as important. We follow the recommendations of the American Association of Pediatric Dentistry (AAPD) regarding finger and pacifier habits. According to the AAPD “Introducing a pacifier may be beneficial in helping premature infants develop the sucking reflex, offering comfort and soothing, providing an analgesic effect during minor invasive procedures, decreasing the incidence of SIDS, and preventing a persistent finger-sucking habit. However, a prolonged pacifier habit after 12 months of age can increase the risk of acute otitis media. Pacifier use beyond 18 months can influence the developing orofacial complex, leading to anterior open bite, posterior crossbite, and Class II malocclusion.”

Pacifier habits can be easier to stop because you can remove them from your child therefore thumb habits may be even harder to break. We recommend stopping thumb habits by the time the first permanent teeth start to erupt, or around 5-6 years of age for most patients.

During our initial exam, we will discuss these habits and diagnose any issues that they have caused. The most important of which is to help your child stop this habit so the detrimental effects will not continue. The good news is we have many tips and tricks to help motivate your child to stop their habit! Or if those don’t work, we can place an appliance to help the habit cease. Our team is well trained to discuss these habits with you and help guide you through the process to help break that habit once and for all!

If you have any questions about how to relieve your child’s teething symptoms, call us at Heights Pediatric Dentistry & Orthodontics, 713-861-4000!

Dr. Lindhorst, Dr. Darsey, Dr. Theriot, Dr. Gavri and the Heights Pediatric Dentistry and Orthodontics Team

Read More
Katie O'Malley Katie O'Malley

Life with Braces

Congratulations! You just got your braces and are on your way to a beautiful smile. Having braces can be a bit of an adjustment to your daily routine so we make sure to give you all the information you need to make it easy on you.

Getting used to your braces takes some time! At first it will feel very different having braces. You are not used to them, your lips are not used to them, and your teeth are especially not used to them. Your lips may become sore from rubbing on the braces. It is like rubbing a blister on your hand after working in the yard. At first you get sore, but your lips and cheeks will “toughen up” like a callus on your hand. Your teeth will probably become sore by dinner. This is normal and won’t last forever! If you are having soreness, take whatever you would take for headaches. It is best to take this before you get sore. Usually, your soreness will last about 2-3 days, decreasing each day.

Making sure that you are brushing and flossing appropriately is extremely important with braces. It is harder to keep things squeaky clean when you have brackets and wires but before your leave your first appointment one of our team members will go over exactly how to properly brush and floss. You want to make sure that you brush after every meal and for 2 minutes each time you brush. This helps keep any food from building up around your braces. If any plaque accumulates and stays around the braces you may get white spots that will not go away or even worse, cavities may form. Braces do not cause white spots or cavities, poor brushing does! And you are not done with your routine once you brush, we want you to aim for flossing at least one time per day.

Next up is what not to eat. This is extremely important. If you think a particular food will break your braces, it probably will. Hard, sticky candies are the worst. You know when you bite into a Jolly Rancher and your teeth stick together? With braces, your brackets will stick to the candy and come off your teeth when you open. If a bracket is off a tooth, the tooth is not moving which means longer treatment time may be needed. This adds up quickly. Some specific foods to avoid are sticky candies, nuts, popcorn, ice, hard/crunchy crusts, and caramels.

Sometimes things do break or come loose with your braces. We have some tips to help keep you comfortable until you can get in to see the orthodontist. If you have a wire that is poking, place a small piece of wax on the end to make it smooth or if the wire slips out of the last tooth, you can use tweezers to place the wire back in the tube. Broken brackets typically are not considered an emergency unless they have a pokey wire associated. Wax can help keep the bracket from sliding around and keep you comfortable until you can come to the orthodontist. It is important to have any broken brackets replaced as soon as you can get into the office to not increase treatment time.

We hope this information helps you feel more confident moving forward with your braces treatment.

If you have any questions about how to relieve your child’s teething symptoms, call us at Heights Pediatric Dentistry & Orthodontics, 713-861-4000!

Dr. Lindhorst, Dr. Darsey, Dr. Theriot, Dr. Gavri and the Heights Pediatric Dentistry and Orthodontics Team

Read More
Katie O'Malley Katie O'Malley

What to Expect at Your First Orthodontic Appointment

Getting started on your orthodontic journey can be very exciting but can also bring feelings of uncertainty with what to expect. Our orthodontic partners and their teams go above and beyond to make sure you’ll feel comfortable at your first appointment.

You’ve decided to get braces and now the time has come for your first appointment. Their team will make sure to walk you through the entire process so that you feel comfortable from beginning to end.

When you arrive at the office one of their awesome team members will bring you to the patient care area. At that time, they will take the appropriate x-rays needed to make sure they get the braces exactly where they need to be. (Fun fact: they use their x-rays to look at the roots of the teeth to make sure that those get lined up nicely, as well.) The next step will be polishing your teeth. This is just like when your teeth are cleaned at your regular cleaning appointments with your dentist. This ensures that your teeth are prepped so that when the braces are placed no food or bacteria gets trapped under the braces. Having squeaky clean teeth also helps the braces stick to your teeth. Once this step is complete, they will begin the process to place the braces. They use cheek retractors to help hold your lips and cheeks back so that your teeth do not get wet. It is of utmost importance that nothing gets wet while they are putting on your braces. If any saliva gets on your teeth, the braces may not stick well and could pop off. Next, they will clean your teeth again. This is done with a special cleansing agent that can taste like super sour candy, so they make sure to rinse it off really well. Following this step, they will spray lots of air on your teeth to make sure that they are dry. This is important because they use a bonding agent that helps the glue and brace stick to your tooth, and it must be dry to do so. Now you are finally ready to have the braces placed. Each small brace is placed onto the respective tooth (you likely won’t feel this at all!) and pressed into place. Once the braces are on the teeth they will come over and carefully check each brace to make sure that it is in the perfect position to help align your teeth. Once the doctor gives the approval, they use a special blue light that sets the glue and the brace in place. Now all of your braces are on, but they are not done just yet!

The next step is to place your first wire. The first wire is always light and flexible to start the alignment process and fits directly into the braces. The fun part comes next where you can pick a color or two to hold the wire into the brace. They have lots of color options to choose from!

Finally, they make sure to go over exactly how to care for your braces and give you all the tools to keep things nice and clean.

Now you are all set to start your journey towards a beautiful smile!

If you have any questions about how to relieve your child’s teething symptoms, call us at Heights Pediatric Dentistry & Orthodontics, 713-861-4000!

Dr. Lindhorst, Dr. Darsey, Dr. Theriot, Dr. Gavri and the Heights Pediatric Dentistry and Orthodontics Team

Read More
Katie O'Malley Katie O'Malley

Teething

Did you know that when your baby is born, they already have 20 teeth, but you just can’t see them yet?! YES, it’s true! They are developing and hiding under the gums until they are ready to start coming in around 6-12 months of age. All 20 baby teeth should be in place by about 3 years of age. Then your little one can expect to start getting their second set of teeth at about 6 years old.

Normal symptoms of teething include fussiness, trouble sleeping, irritability, loss of appetite and drooling more than usual. The symptoms that are not normal are fever, diarrhea, and a rash. If your baby has any of these symptoms, then you should contact their pediatrician for another possible illness or cause.

How can you soothe your teething baby? Massage the gums with a clean finger, provide your baby a clean teether toy to chew on, and you can also try letting them chew on something cool like a chilled rubber spoon or a moist, clean rag. Giving your little one a breastmilk popsicle is a great, healthy, natural teething option in the warm summertime! My favorite teething trick for 6 months and older is to put cold or frozen fruit like bananas or watermelon into a mesh baby food feeder and let them gnaw on that for a sweet, but nutritious treat. All of these can help provide comfort to sore or tender gums. When it comes to pain control, consider safe over-the counter medications like acetaminophen or ibuprofen with appropriate dosages for your baby’s age and weight.

What should you avoid? Avoid objects that are hard or can break when chewed on. It’s important to make sure these teething toys are also free of hazardous materials like metal or lead. The CDC recommends avoiding homeopathic magnetic hematite “healing” bracelets or amber necklaces because 1) they can contain metal or lead which can harm your baby and 2) puts your baby at risk for strangulation or choking. Avoid teething gels and tablets. The FDA recommends against using numbing agents like benzocaine (Orajel) for children younger than 2 because it can pose serious, sometimes fatal risks, and has little to no benefits for treating oral pain. Benzocaine can cause a condition called methemoglobinemia where the amount of oxygen carried in the blood is dangerously low. Teething tablets can contain inconsistent amounts of toxic substances than what they claim on the label. Side effects of using gels or tablets may include seizures, difficulty breathing, lethargy, excessive sleepiness, muscle weakness, skin flushing, constipation, difficulty urinating, or agitation, and medical care should be sought out immediately.

If you have any questions about how to relieve your child’s teething symptoms, call us at Heights Pediatric Dentistry & Orthodontics, 713-861-4000!

Dr. Lindhorst, Dr. Darsey, Dr. Theriot, Dr. Gavri and the Heights Pediatric Dentistry and Orthodontics Team

Read More
Katie O'Malley Katie O'Malley

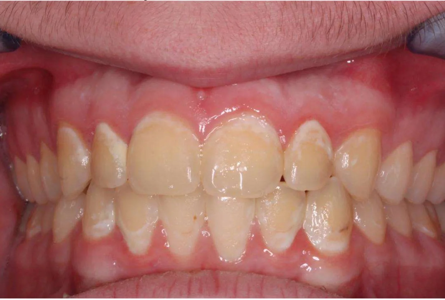
Post Orthodontic Decalcifications

Braces are super exciting! So many kids and adults cannot wait to get their smiles perfected with our amazing orthodontic team. But braces are also challenging to take care of, and our team is here for you to prevent having a straight but full of cavities smile.

We have unfortunately seen way too often dental decay formed around the brackets and between the teeth due to inadequate brushing and flossing. Orthodontic decalcifications are white or brown spots that appear most often between the brackets and gums of the teeth since toothbrushes are too large to fit into those spaces easily. Often, those areas also have inflamed and bleeding gums that trap plaque and add to the process of tooth de-mineralization. If plaque stays in those areas for a long time, especially when it is supplemented by acidic drinks such as sodas, juices, or sports drinks, those demineralized areas become permanent and can over time become cavities. Unfortunately, those areas are often on the front teeth and are unsightly once braces are taken off. In addition, lack of flossing during the time of wearing braces leads to cavities between the teeth that cannot be detected on x-rays until the wires are removed.

We know that it is difficult to access teeth when brackets and wires are blocking toothbrushes and floss. That is why our team is dedicated to helping our patients with oral hygiene. Before our pediatric dental team refers patients for orthodontic evaluation, we make sure that kids and teens have excellent oral hygiene habits. We discuss them with parents and kids and if we are not confident, we will recommend waiting until oral hygiene improves before adding the challenge of braces. At the time of placing braces, we supply our patients with samples of orthodontic floss sticks, special toothbrush to help with the tight spots around the wires, and multiple handouts on tips and tricks of brushing with braces. We offer additional dental cleanings and encourage our patients to see us every three, instead of every six months, during their time in braces. For both orthodontic checkups and regular cleanings, we remove the wires and make sure that brushing is reviewed, assessed, and encouraged. If our patients are struggling with oral hygiene, we might resort to leaving the wire out for few weeks to allow better access and healing of the gums before replacing it. In extreme cases, we will even take braces off before treatment is fully completed to prevent decay formation due to poor oral hygiene with brackets and wires.

We truly care about the outcome of orthodontic treatment in a holistic manner. This journey is not just about straight teeth, but about a lifetime of healthy, beautiful, and confident smiles.

Dr. Lindhorst, Dr. Darsey, Dr. Theriot, Dr. Gavri and the Heights Pediatric Dentistry and Orthodontics Team

Read More